抜髄
抜髄(ばつずい)とは
虫歯が奥深く進行すると、虫歯の原因菌が歯髄に感染して歯髄炎を引き起こす。
*虫歯の大きさより深さが問題になります。
歯の神経(歯髄)を抜くことを抜髄と呼びます。
「神経を抜きましょう」と歯医者さんに言われたら抜髄を行うということです。
しかし、神経を抜くという大事な治療にも関わらず、その原因や治療法を正しく理解してから治療を受けられる患者さまは少ないのではないでしょうか?
というのもすべての根管治療は抜髄で始まります。
ですから抜髄治療をきちんとやらないと何度でも痛みや感染が再発し、ひいてはその歯の寿命を大きく左右するのです。
根管治療の成功率が低いのはそのほとんどが抜髄の失敗によるものなのです。
当院では、他院で抜髄をはじめとする根管治療を行った後に、痛みがとれず最悪の場合、抜歯と判断されてから「どうにかならないものか?」と悩んで来院される方が多くいらっしゃいます。
ご自身の歯を長く守っていくためにも、まずはしっかりと抜髄の原因や治療法を担当医に確認してみるとよいでしょう。
抜髄とは歯痛の原因「歯髄炎」を治療することです
歯髄(しずい)とは
一般的に「歯の神経」と言われる器官です。歯髄は、神経線維と血管で出来ていて、歯に栄養や水分を供給しています。
歯髄が炎症するのはどんなとき?
虫歯の原因細菌による歯髄への感染、咬み合わせが高い被せ物、知覚過敏などが原因で持続的に歯髄を刺激すると、「歯髄炎(しずいえん)」と呼ばれる歯痛が起こります。
歯髄炎の対処
一度、歯髄炎になってしまった場合、たとえ薬などで一時的に痛みが和らいだとしても、元の健康な歯髄に戻ることはありません。このような場合は局所麻酔を行い、炎症を起こした歯髄を取り除かなければなりません。炎症を起こした歯髄を取り除く治療を抜髄と呼びます。
なお、歯髄炎をそのまま放っておけば歯髄は壊死し、腐敗してしまいます。
その場合は、感染根管治療が必要となります。
抜髄が必要となる症状
- ズキズキと脈を打つように強く痛み、場合によっては健康な反対側の歯が痛くなったり頭痛がしたりと、痛む箇所がわからなくなる。
- 原因となる歯に触れると飛び上がるほどの痛みがある。
- 入浴・運動・夜間就寝時など、体温が上がると痛みが強くなる。
- 痛み止めを飲むと少し痛みが和らぐが、薬が切れてくるとまた痛み出す。
- 冷たい水を口に含むなど、冷やすことで一時的に痛みが和らぐ。
抜髄の治療方法と手順
1. 麻酔
通常、局所麻酔で治療を始めます。
非常に痛みが強くて麻酔が効きづらい場合は、鎮静剤(ちんせいざい)で歯髄を弱らせてから後日に抜髄する場合もあります。
2. 根管治療前の準備
必要に応じて隔壁を作って根管内に唾液が入らないようにし、ラバーダムを装着します。
唾液に含まれる細菌や見えない汚れを遮断するラバーダムは、抜髄を行う上でとても重要になります。
もし、細菌が根管内に残ってしまうと、そこから細菌が繁殖して、再治療が必要になってしまいます。
根管治療を何度も繰り返している方の歯は、治療と細菌の繁殖を繰り返しているのです。
*治療成功のカギを握る要因は、無菌状態をいかに保てるかに尽きます。
当院ではラバーダムに使用する器具、ラバーダムシートはすべて個別に減菌しています。
3. 根管のお掃除・殺菌
感染した歯髄を除去して、ファイルという器具で根管をお掃除します。
根管内のお掃除が終わったら、根管内を薬品で洗浄し、根管内を殺菌します。
当院では自由診療にて、根管治療に最適なハイクラス設備を導入することでより精度の高い治療方法を実現しております。
4. 根管充填
根管内の殺菌が終わったら、再感染しないように、隙間なく詰め物をします。詰め物は通常、ペースト状のバイオセラミクセメント(MTA)とガッタパーチャを充填します。
*バイオセラミクセメント(MTA)は海外では歯の根に関して効果的な治療法として使われていますが、とても高価な材料で日本では保険適応外になっております。しかし、より歯を長く活かすためには必須といえる詰め物とされております。
5. 歯冠修復処置
根管の治療が終わったら、被せものの治療を行います。
抜髄の症例(24歳女性の場合)
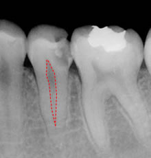
初診時
初診時のレントゲン。歯の真ん中にある空間に神経が入っています
患者さまの主訴
「左下の奥歯が痛いため、根管治療の専門医に診て欲しい」とのことでした。
診断結果と治療方針の決定
虫歯がかなり深く進行して、神経近くに達し、歯髄炎を起こしている状態でした。
抜髄と根管充填を行った後に適切な歯冠修復処置を行ないます。
根管治療1日目
局所麻酔をした後に虫歯を取り除きます。奥歯との隙間をレジンで補強して隔壁を作成、破折と唾液の混入を防ぎます。ラバーダムを装着します。
次に、炎症を起こした歯髄を取り除き、根管の内部をお掃除して、細菌を除去します。根管内のお掃除が終わったら、根管内を薬品で洗浄し、根管内を殺菌します。

- 左下の奥歯が虫歯のため、
穴が空いていました。

- 虫歯を取り除くと
神経(歯髄)の一部が
露出して出血しています。

- 痛みが出てしまった神経は
取り除く。
炎症を起こして充血した神経。
根管治療2日目
症状の確認をし、膿などの炎症がないことを確認します。
その後、根管の先端まですき間が入らないように、ペースト状のバイオセラミクセメント(MTA)をガッタパーチャと充填します。
歯冠修復処置
根管充填後のレントゲン
全く違和感は無くなったので根管治療の為に削った歯冠部をコンポジットレジンで修復治療しました。
レントゲンで映っている歯の内部の白いものが詰め物です。詰め物には、ペースト状のバイオセラミクセメント(MTA)をガッタパーチャと充填しています。虫歯で削った歯の上の方の空間はコンポジットレジンと呼ばれる歯と同系色の白い詰め物、(プラスティックとセラミックの混ぜ物)を詰めて終了です。
この症例にかかった費用
| 根管治療費 小臼歯 | ¥148,500 |
| う蝕除去 | ¥8,800 |
| 隔壁 | ¥8,800 |
| 根管充填(バイオセラミクセメント(MTA)) | ¥44,000 |
| レーザー治療 | ¥3,300 |
| 合計額 | ¥213,400 (税込み) |
*被せ物治療の料金は含まれません。
被せ物治療は日頃かかりつけの歯科医院さんへの転院も可能です。
